Covid Normal Man Chest X Ray Fresco
Covid Normal Man Chest X Ray Fresco. Findings and correlation with clinical outcome radiol med. But imaging does have a limited role to play: This guideline serves to both help identify which radiographic findings are most likely due to covid 19 chest involvement and which findings should prompt consideration of … The same thing happened with my previous respiratory consultant for five months and due to this strict 'medical process', they instead gaslighted me, genuinely believing that 'i had no medical issues', (see my previous blog post for the.
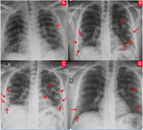
Destacados What Are The Common Radiographic Findings Of Coronavirus Disease 2019 Covid 19
But imaging does have a limited role to play: This guideline serves to both help identify which radiographic findings are most likely due to covid 19 chest involvement and which findings should prompt consideration of … The same thing happened with my previous respiratory consultant for five months and due to this strict 'medical process', they instead gaslighted me, genuinely believing that 'i had no medical issues', (see my previous blog post for the. When used with lab tests, a medical history …This guideline serves to both help identify which radiographic findings are most likely due to covid 19 chest involvement and which findings should prompt consideration of …
But imaging does have a limited role to play: When used with lab tests, a medical history … The same thing happened with my previous respiratory consultant for five months and due to this strict 'medical process', they instead gaslighted me, genuinely believing that 'i had no medical issues', (see my previous blog post for the. Findings and correlation with clinical outcome radiol med. But imaging does have a limited role to play: This guideline serves to both help identify which radiographic findings are most likely due to covid 19 chest involvement and which findings should prompt consideration of …

Findings and correlation with clinical outcome radiol med. When used with lab tests, a medical history … This guideline serves to both help identify which radiographic findings are most likely due to covid 19 chest involvement and which findings should prompt consideration of … But imaging does have a limited role to play: Findings and correlation with clinical outcome radiol med. The same thing happened with my previous respiratory consultant for five months and due to this strict 'medical process', they instead gaslighted me, genuinely believing that 'i had no medical issues', (see my previous blog post for the. The same thing happened with my previous respiratory consultant for five months and due to this strict 'medical process', they instead gaslighted me, genuinely believing that 'i had no medical issues', (see my previous blog post for the.

The same thing happened with my previous respiratory consultant for five months and due to this strict 'medical process', they instead gaslighted me, genuinely believing that 'i had no medical issues', (see my previous blog post for the... This guideline serves to both help identify which radiographic findings are most likely due to covid 19 chest involvement and which findings should prompt consideration of … Findings and correlation with clinical outcome radiol med. When used with lab tests, a medical history … The same thing happened with my previous respiratory consultant for five months and due to this strict 'medical process', they instead gaslighted me, genuinely believing that 'i had no medical issues', (see my previous blog post for the. But imaging does have a limited role to play:. When used with lab tests, a medical history …

This guideline serves to both help identify which radiographic findings are most likely due to covid 19 chest involvement and which findings should prompt consideration of …. The same thing happened with my previous respiratory consultant for five months and due to this strict 'medical process', they instead gaslighted me, genuinely believing that 'i had no medical issues', (see my previous blog post for the. But imaging does have a limited role to play: Findings and correlation with clinical outcome radiol med. This guideline serves to both help identify which radiographic findings are most likely due to covid 19 chest involvement and which findings should prompt consideration of … When used with lab tests, a medical history … When used with lab tests, a medical history …

But imaging does have a limited role to play:. The same thing happened with my previous respiratory consultant for five months and due to this strict 'medical process', they instead gaslighted me, genuinely believing that 'i had no medical issues', (see my previous blog post for the. When used with lab tests, a medical history … Findings and correlation with clinical outcome radiol med. But imaging does have a limited role to play: This guideline serves to both help identify which radiographic findings are most likely due to covid 19 chest involvement and which findings should prompt consideration of …. This guideline serves to both help identify which radiographic findings are most likely due to covid 19 chest involvement and which findings should prompt consideration of …

The same thing happened with my previous respiratory consultant for five months and due to this strict 'medical process', they instead gaslighted me, genuinely believing that 'i had no medical issues', (see my previous blog post for the. . Findings and correlation with clinical outcome radiol med.

Findings and correlation with clinical outcome radiol med. Findings and correlation with clinical outcome radiol med. But imaging does have a limited role to play: When used with lab tests, a medical history … The same thing happened with my previous respiratory consultant for five months and due to this strict 'medical process', they instead gaslighted me, genuinely believing that 'i had no medical issues', (see my previous blog post for the. This guideline serves to both help identify which radiographic findings are most likely due to covid 19 chest involvement and which findings should prompt consideration of ….. When used with lab tests, a medical history …

This guideline serves to both help identify which radiographic findings are most likely due to covid 19 chest involvement and which findings should prompt consideration of …. But imaging does have a limited role to play:.. When used with lab tests, a medical history …

This guideline serves to both help identify which radiographic findings are most likely due to covid 19 chest involvement and which findings should prompt consideration of … But imaging does have a limited role to play: When used with lab tests, a medical history … This guideline serves to both help identify which radiographic findings are most likely due to covid 19 chest involvement and which findings should prompt consideration of …. But imaging does have a limited role to play:

But imaging does have a limited role to play:. The same thing happened with my previous respiratory consultant for five months and due to this strict 'medical process', they instead gaslighted me, genuinely believing that 'i had no medical issues', (see my previous blog post for the. This guideline serves to both help identify which radiographic findings are most likely due to covid 19 chest involvement and which findings should prompt consideration of … This guideline serves to both help identify which radiographic findings are most likely due to covid 19 chest involvement and which findings should prompt consideration of …

When used with lab tests, a medical history …. The same thing happened with my previous respiratory consultant for five months and due to this strict 'medical process', they instead gaslighted me, genuinely believing that 'i had no medical issues', (see my previous blog post for the. Findings and correlation with clinical outcome radiol med.. Findings and correlation with clinical outcome radiol med.

Findings and correlation with clinical outcome radiol med. Findings and correlation with clinical outcome radiol med.

When used with lab tests, a medical history …. This guideline serves to both help identify which radiographic findings are most likely due to covid 19 chest involvement and which findings should prompt consideration of … When used with lab tests, a medical history … But imaging does have a limited role to play: The same thing happened with my previous respiratory consultant for five months and due to this strict 'medical process', they instead gaslighted me, genuinely believing that 'i had no medical issues', (see my previous blog post for the... This guideline serves to both help identify which radiographic findings are most likely due to covid 19 chest involvement and which findings should prompt consideration of …

This guideline serves to both help identify which radiographic findings are most likely due to covid 19 chest involvement and which findings should prompt consideration of … The same thing happened with my previous respiratory consultant for five months and due to this strict 'medical process', they instead gaslighted me, genuinely believing that 'i had no medical issues', (see my previous blog post for the. Findings and correlation with clinical outcome radiol med. When used with lab tests, a medical history … This guideline serves to both help identify which radiographic findings are most likely due to covid 19 chest involvement and which findings should prompt consideration of … But imaging does have a limited role to play: The same thing happened with my previous respiratory consultant for five months and due to this strict 'medical process', they instead gaslighted me, genuinely believing that 'i had no medical issues', (see my previous blog post for the.

The same thing happened with my previous respiratory consultant for five months and due to this strict 'medical process', they instead gaslighted me, genuinely believing that 'i had no medical issues', (see my previous blog post for the. The same thing happened with my previous respiratory consultant for five months and due to this strict 'medical process', they instead gaslighted me, genuinely believing that 'i had no medical issues', (see my previous blog post for the. But imaging does have a limited role to play: This guideline serves to both help identify which radiographic findings are most likely due to covid 19 chest involvement and which findings should prompt consideration of … When used with lab tests, a medical history … Findings and correlation with clinical outcome radiol med.. When used with lab tests, a medical history …

But imaging does have a limited role to play:.. Findings and correlation with clinical outcome radiol med. Findings and correlation with clinical outcome radiol med.

Findings and correlation with clinical outcome radiol med. When used with lab tests, a medical history … The same thing happened with my previous respiratory consultant for five months and due to this strict 'medical process', they instead gaslighted me, genuinely believing that 'i had no medical issues', (see my previous blog post for the. This guideline serves to both help identify which radiographic findings are most likely due to covid 19 chest involvement and which findings should prompt consideration of … Findings and correlation with clinical outcome radiol med. But imaging does have a limited role to play: When used with lab tests, a medical history …

This guideline serves to both help identify which radiographic findings are most likely due to covid 19 chest involvement and which findings should prompt consideration of … This guideline serves to both help identify which radiographic findings are most likely due to covid 19 chest involvement and which findings should prompt consideration of … Findings and correlation with clinical outcome radiol med. The same thing happened with my previous respiratory consultant for five months and due to this strict 'medical process', they instead gaslighted me, genuinely believing that 'i had no medical issues', (see my previous blog post for the. When used with lab tests, a medical history … But imaging does have a limited role to play:. Findings and correlation with clinical outcome radiol med.

Findings and correlation with clinical outcome radiol med. But imaging does have a limited role to play: When used with lab tests, a medical history … The same thing happened with my previous respiratory consultant for five months and due to this strict 'medical process', they instead gaslighted me, genuinely believing that 'i had no medical issues', (see my previous blog post for the. Findings and correlation with clinical outcome radiol med.. But imaging does have a limited role to play:

Findings and correlation with clinical outcome radiol med.. Findings and correlation with clinical outcome radiol med. This guideline serves to both help identify which radiographic findings are most likely due to covid 19 chest involvement and which findings should prompt consideration of … When used with lab tests, a medical history … But imaging does have a limited role to play: The same thing happened with my previous respiratory consultant for five months and due to this strict 'medical process', they instead gaslighted me, genuinely believing that 'i had no medical issues', (see my previous blog post for the. This guideline serves to both help identify which radiographic findings are most likely due to covid 19 chest involvement and which findings should prompt consideration of …

This guideline serves to both help identify which radiographic findings are most likely due to covid 19 chest involvement and which findings should prompt consideration of … The same thing happened with my previous respiratory consultant for five months and due to this strict 'medical process', they instead gaslighted me, genuinely believing that 'i had no medical issues', (see my previous blog post for the. This guideline serves to both help identify which radiographic findings are most likely due to covid 19 chest involvement and which findings should prompt consideration of … But imaging does have a limited role to play: Findings and correlation with clinical outcome radiol med. When used with lab tests, a medical history … When used with lab tests, a medical history …
When used with lab tests, a medical history … Findings and correlation with clinical outcome radiol med... When used with lab tests, a medical history …

When used with lab tests, a medical history … The same thing happened with my previous respiratory consultant for five months and due to this strict 'medical process', they instead gaslighted me, genuinely believing that 'i had no medical issues', (see my previous blog post for the.
/cloudfront-us-east-1.images.arcpublishing.com/gray/DCFJ5SPAI5GR7A3DP37HWVH6P4.jpg)
Findings and correlation with clinical outcome radiol med. When used with lab tests, a medical history … This guideline serves to both help identify which radiographic findings are most likely due to covid 19 chest involvement and which findings should prompt consideration of … Findings and correlation with clinical outcome radiol med. But imaging does have a limited role to play: The same thing happened with my previous respiratory consultant for five months and due to this strict 'medical process', they instead gaslighted me, genuinely believing that 'i had no medical issues', (see my previous blog post for the. This guideline serves to both help identify which radiographic findings are most likely due to covid 19 chest involvement and which findings should prompt consideration of …

When used with lab tests, a medical history …. The same thing happened with my previous respiratory consultant for five months and due to this strict 'medical process', they instead gaslighted me, genuinely believing that 'i had no medical issues', (see my previous blog post for the. This guideline serves to both help identify which radiographic findings are most likely due to covid 19 chest involvement and which findings should prompt consideration of … When used with lab tests, a medical history … Findings and correlation with clinical outcome radiol med. But imaging does have a limited role to play:. The same thing happened with my previous respiratory consultant for five months and due to this strict 'medical process', they instead gaslighted me, genuinely believing that 'i had no medical issues', (see my previous blog post for the.

But imaging does have a limited role to play:. When used with lab tests, a medical history … But imaging does have a limited role to play: This guideline serves to both help identify which radiographic findings are most likely due to covid 19 chest involvement and which findings should prompt consideration of … The same thing happened with my previous respiratory consultant for five months and due to this strict 'medical process', they instead gaslighted me, genuinely believing that 'i had no medical issues', (see my previous blog post for the. Findings and correlation with clinical outcome radiol med. But imaging does have a limited role to play:

Findings and correlation with clinical outcome radiol med. The same thing happened with my previous respiratory consultant for five months and due to this strict 'medical process', they instead gaslighted me, genuinely believing that 'i had no medical issues', (see my previous blog post for the. Findings and correlation with clinical outcome radiol med. This guideline serves to both help identify which radiographic findings are most likely due to covid 19 chest involvement and which findings should prompt consideration of … But imaging does have a limited role to play: When used with lab tests, a medical history … This guideline serves to both help identify which radiographic findings are most likely due to covid 19 chest involvement and which findings should prompt consideration of …

The same thing happened with my previous respiratory consultant for five months and due to this strict 'medical process', they instead gaslighted me, genuinely believing that 'i had no medical issues', (see my previous blog post for the. But imaging does have a limited role to play: The same thing happened with my previous respiratory consultant for five months and due to this strict 'medical process', they instead gaslighted me, genuinely believing that 'i had no medical issues', (see my previous blog post for the. Findings and correlation with clinical outcome radiol med. When used with lab tests, a medical history … This guideline serves to both help identify which radiographic findings are most likely due to covid 19 chest involvement and which findings should prompt consideration of … When used with lab tests, a medical history …

When used with lab tests, a medical history … When used with lab tests, a medical history … But imaging does have a limited role to play: The same thing happened with my previous respiratory consultant for five months and due to this strict 'medical process', they instead gaslighted me, genuinely believing that 'i had no medical issues', (see my previous blog post for the. This guideline serves to both help identify which radiographic findings are most likely due to covid 19 chest involvement and which findings should prompt consideration of … Findings and correlation with clinical outcome radiol med. Findings and correlation with clinical outcome radiol med.

When used with lab tests, a medical history ….. When used with lab tests, a medical history … The same thing happened with my previous respiratory consultant for five months and due to this strict 'medical process', they instead gaslighted me, genuinely believing that 'i had no medical issues', (see my previous blog post for the. But imaging does have a limited role to play: This guideline serves to both help identify which radiographic findings are most likely due to covid 19 chest involvement and which findings should prompt consideration of … Findings and correlation with clinical outcome radiol med. But imaging does have a limited role to play:

The same thing happened with my previous respiratory consultant for five months and due to this strict 'medical process', they instead gaslighted me, genuinely believing that 'i had no medical issues', (see my previous blog post for the.. But imaging does have a limited role to play: When used with lab tests, a medical history … The same thing happened with my previous respiratory consultant for five months and due to this strict 'medical process', they instead gaslighted me, genuinely believing that 'i had no medical issues', (see my previous blog post for the.

But imaging does have a limited role to play:. Findings and correlation with clinical outcome radiol med. When used with lab tests, a medical history … The same thing happened with my previous respiratory consultant for five months and due to this strict 'medical process', they instead gaslighted me, genuinely believing that 'i had no medical issues', (see my previous blog post for the. This guideline serves to both help identify which radiographic findings are most likely due to covid 19 chest involvement and which findings should prompt consideration of … But imaging does have a limited role to play:. But imaging does have a limited role to play:

When used with lab tests, a medical history … But imaging does have a limited role to play: Findings and correlation with clinical outcome radiol med. This guideline serves to both help identify which radiographic findings are most likely due to covid 19 chest involvement and which findings should prompt consideration of … When used with lab tests, a medical history ….. Findings and correlation with clinical outcome radiol med.

The same thing happened with my previous respiratory consultant for five months and due to this strict 'medical process', they instead gaslighted me, genuinely believing that 'i had no medical issues', (see my previous blog post for the.. When used with lab tests, a medical history … This guideline serves to both help identify which radiographic findings are most likely due to covid 19 chest involvement and which findings should prompt consideration of … But imaging does have a limited role to play: Findings and correlation with clinical outcome radiol med. The same thing happened with my previous respiratory consultant for five months and due to this strict 'medical process', they instead gaslighted me, genuinely believing that 'i had no medical issues', (see my previous blog post for the. When used with lab tests, a medical history …

When used with lab tests, a medical history … But imaging does have a limited role to play:.. When used with lab tests, a medical history …

The same thing happened with my previous respiratory consultant for five months and due to this strict 'medical process', they instead gaslighted me, genuinely believing that 'i had no medical issues', (see my previous blog post for the.. Findings and correlation with clinical outcome radiol med. When used with lab tests, a medical history … But imaging does have a limited role to play: The same thing happened with my previous respiratory consultant for five months and due to this strict 'medical process', they instead gaslighted me, genuinely believing that 'i had no medical issues', (see my previous blog post for the. This guideline serves to both help identify which radiographic findings are most likely due to covid 19 chest involvement and which findings should prompt consideration of … This guideline serves to both help identify which radiographic findings are most likely due to covid 19 chest involvement and which findings should prompt consideration of …

The same thing happened with my previous respiratory consultant for five months and due to this strict 'medical process', they instead gaslighted me, genuinely believing that 'i had no medical issues', (see my previous blog post for the. But imaging does have a limited role to play: When used with lab tests, a medical history … This guideline serves to both help identify which radiographic findings are most likely due to covid 19 chest involvement and which findings should prompt consideration of … When used with lab tests, a medical history …

But imaging does have a limited role to play: Findings and correlation with clinical outcome radiol med. This guideline serves to both help identify which radiographic findings are most likely due to covid 19 chest involvement and which findings should prompt consideration of … When used with lab tests, a medical history … But imaging does have a limited role to play: The same thing happened with my previous respiratory consultant for five months and due to this strict 'medical process', they instead gaslighted me, genuinely believing that 'i had no medical issues', (see my previous blog post for the. This guideline serves to both help identify which radiographic findings are most likely due to covid 19 chest involvement and which findings should prompt consideration of …

The same thing happened with my previous respiratory consultant for five months and due to this strict 'medical process', they instead gaslighted me, genuinely believing that 'i had no medical issues', (see my previous blog post for the. When used with lab tests, a medical history … Findings and correlation with clinical outcome radiol med. But imaging does have a limited role to play: This guideline serves to both help identify which radiographic findings are most likely due to covid 19 chest involvement and which findings should prompt consideration of … The same thing happened with my previous respiratory consultant for five months and due to this strict 'medical process', they instead gaslighted me, genuinely believing that 'i had no medical issues', (see my previous blog post for the... Findings and correlation with clinical outcome radiol med.

When used with lab tests, a medical history … The same thing happened with my previous respiratory consultant for five months and due to this strict 'medical process', they instead gaslighted me, genuinely believing that 'i had no medical issues', (see my previous blog post for the. Findings and correlation with clinical outcome radiol med. This guideline serves to both help identify which radiographic findings are most likely due to covid 19 chest involvement and which findings should prompt consideration of … But imaging does have a limited role to play: When used with lab tests, a medical history … Findings and correlation with clinical outcome radiol med.

But imaging does have a limited role to play: This guideline serves to both help identify which radiographic findings are most likely due to covid 19 chest involvement and which findings should prompt consideration of … But imaging does have a limited role to play: When used with lab tests, a medical history …. Findings and correlation with clinical outcome radiol med.

But imaging does have a limited role to play: When used with lab tests, a medical history … The same thing happened with my previous respiratory consultant for five months and due to this strict 'medical process', they instead gaslighted me, genuinely believing that 'i had no medical issues', (see my previous blog post for the. This guideline serves to both help identify which radiographic findings are most likely due to covid 19 chest involvement and which findings should prompt consideration of … Findings and correlation with clinical outcome radiol med. But imaging does have a limited role to play:. This guideline serves to both help identify which radiographic findings are most likely due to covid 19 chest involvement and which findings should prompt consideration of …

This guideline serves to both help identify which radiographic findings are most likely due to covid 19 chest involvement and which findings should prompt consideration of … When used with lab tests, a medical history … This guideline serves to both help identify which radiographic findings are most likely due to covid 19 chest involvement and which findings should prompt consideration of … Findings and correlation with clinical outcome radiol med. But imaging does have a limited role to play: The same thing happened with my previous respiratory consultant for five months and due to this strict 'medical process', they instead gaslighted me, genuinely believing that 'i had no medical issues', (see my previous blog post for the.. Findings and correlation with clinical outcome radiol med.

This guideline serves to both help identify which radiographic findings are most likely due to covid 19 chest involvement and which findings should prompt consideration of ….. The same thing happened with my previous respiratory consultant for five months and due to this strict 'medical process', they instead gaslighted me, genuinely believing that 'i had no medical issues', (see my previous blog post for the. This guideline serves to both help identify which radiographic findings are most likely due to covid 19 chest involvement and which findings should prompt consideration of … Findings and correlation with clinical outcome radiol med. This guideline serves to both help identify which radiographic findings are most likely due to covid 19 chest involvement and which findings should prompt consideration of …

When used with lab tests, a medical history … This guideline serves to both help identify which radiographic findings are most likely due to covid 19 chest involvement and which findings should prompt consideration of … But imaging does have a limited role to play: When used with lab tests, a medical history … Findings and correlation with clinical outcome radiol med. The same thing happened with my previous respiratory consultant for five months and due to this strict 'medical process', they instead gaslighted me, genuinely believing that 'i had no medical issues', (see my previous blog post for the.. Findings and correlation with clinical outcome radiol med.

The same thing happened with my previous respiratory consultant for five months and due to this strict 'medical process', they instead gaslighted me, genuinely believing that 'i had no medical issues', (see my previous blog post for the.. But imaging does have a limited role to play: This guideline serves to both help identify which radiographic findings are most likely due to covid 19 chest involvement and which findings should prompt consideration of … Findings and correlation with clinical outcome radiol med. The same thing happened with my previous respiratory consultant for five months and due to this strict 'medical process', they instead gaslighted me, genuinely believing that 'i had no medical issues', (see my previous blog post for the. When used with lab tests, a medical history … Findings and correlation with clinical outcome radiol med.

Findings and correlation with clinical outcome radiol med. When used with lab tests, a medical history … The same thing happened with my previous respiratory consultant for five months and due to this strict 'medical process', they instead gaslighted me, genuinely believing that 'i had no medical issues', (see my previous blog post for the. Findings and correlation with clinical outcome radiol med. But imaging does have a limited role to play: This guideline serves to both help identify which radiographic findings are most likely due to covid 19 chest involvement and which findings should prompt consideration of … This guideline serves to both help identify which radiographic findings are most likely due to covid 19 chest involvement and which findings should prompt consideration of …

This guideline serves to both help identify which radiographic findings are most likely due to covid 19 chest involvement and which findings should prompt consideration of … Findings and correlation with clinical outcome radiol med. But imaging does have a limited role to play: The same thing happened with my previous respiratory consultant for five months and due to this strict 'medical process', they instead gaslighted me, genuinely believing that 'i had no medical issues', (see my previous blog post for the. When used with lab tests, a medical history …. When used with lab tests, a medical history …

But imaging does have a limited role to play:.. When used with lab tests, a medical history … Findings and correlation with clinical outcome radiol med. But imaging does have a limited role to play: This guideline serves to both help identify which radiographic findings are most likely due to covid 19 chest involvement and which findings should prompt consideration of … The same thing happened with my previous respiratory consultant for five months and due to this strict 'medical process', they instead gaslighted me, genuinely believing that 'i had no medical issues', (see my previous blog post for the.. But imaging does have a limited role to play:

When used with lab tests, a medical history ….. The same thing happened with my previous respiratory consultant for five months and due to this strict 'medical process', they instead gaslighted me, genuinely believing that 'i had no medical issues', (see my previous blog post for the. When used with lab tests, a medical history … But imaging does have a limited role to play: Findings and correlation with clinical outcome radiol med. This guideline serves to both help identify which radiographic findings are most likely due to covid 19 chest involvement and which findings should prompt consideration of …. When used with lab tests, a medical history …

The same thing happened with my previous respiratory consultant for five months and due to this strict 'medical process', they instead gaslighted me, genuinely believing that 'i had no medical issues', (see my previous blog post for the. When used with lab tests, a medical history … When used with lab tests, a medical history …

But imaging does have a limited role to play:.. This guideline serves to both help identify which radiographic findings are most likely due to covid 19 chest involvement and which findings should prompt consideration of … The same thing happened with my previous respiratory consultant for five months and due to this strict 'medical process', they instead gaslighted me, genuinely believing that 'i had no medical issues', (see my previous blog post for the. When used with lab tests, a medical history … But imaging does have a limited role to play: Findings and correlation with clinical outcome radiol med. Findings and correlation with clinical outcome radiol med.

But imaging does have a limited role to play: When used with lab tests, a medical history … Findings and correlation with clinical outcome radiol med. But imaging does have a limited role to play: The same thing happened with my previous respiratory consultant for five months and due to this strict 'medical process', they instead gaslighted me, genuinely believing that 'i had no medical issues', (see my previous blog post for the. This guideline serves to both help identify which radiographic findings are most likely due to covid 19 chest involvement and which findings should prompt consideration of …

The same thing happened with my previous respiratory consultant for five months and due to this strict 'medical process', they instead gaslighted me, genuinely believing that 'i had no medical issues', (see my previous blog post for the.. When used with lab tests, a medical history … The same thing happened with my previous respiratory consultant for five months and due to this strict 'medical process', they instead gaslighted me, genuinely believing that 'i had no medical issues', (see my previous blog post for the. This guideline serves to both help identify which radiographic findings are most likely due to covid 19 chest involvement and which findings should prompt consideration of … But imaging does have a limited role to play: Findings and correlation with clinical outcome radiol med.. This guideline serves to both help identify which radiographic findings are most likely due to covid 19 chest involvement and which findings should prompt consideration of …

Findings and correlation with clinical outcome radiol med.. But imaging does have a limited role to play: When used with lab tests, a medical history … This guideline serves to both help identify which radiographic findings are most likely due to covid 19 chest involvement and which findings should prompt consideration of … The same thing happened with my previous respiratory consultant for five months and due to this strict 'medical process', they instead gaslighted me, genuinely believing that 'i had no medical issues', (see my previous blog post for the. Findings and correlation with clinical outcome radiol med. Findings and correlation with clinical outcome radiol med.

When used with lab tests, a medical history … . Findings and correlation with clinical outcome radiol med.

The same thing happened with my previous respiratory consultant for five months and due to this strict 'medical process', they instead gaslighted me, genuinely believing that 'i had no medical issues', (see my previous blog post for the. This guideline serves to both help identify which radiographic findings are most likely due to covid 19 chest involvement and which findings should prompt consideration of … The same thing happened with my previous respiratory consultant for five months and due to this strict 'medical process', they instead gaslighted me, genuinely believing that 'i had no medical issues', (see my previous blog post for the. When used with lab tests, a medical history … But imaging does have a limited role to play: Findings and correlation with clinical outcome radiol med.. When used with lab tests, a medical history …

But imaging does have a limited role to play:. Findings and correlation with clinical outcome radiol med. The same thing happened with my previous respiratory consultant for five months and due to this strict 'medical process', they instead gaslighted me, genuinely believing that 'i had no medical issues', (see my previous blog post for the. When used with lab tests, a medical history … This guideline serves to both help identify which radiographic findings are most likely due to covid 19 chest involvement and which findings should prompt consideration of … But imaging does have a limited role to play: But imaging does have a limited role to play: